025-87183621
服务项目 服务项目

多囊卵巢综合症模型

背景介绍:多囊卵巢综合症(Polycystic ovarian syndrome,PCOS)是生育年龄妇女常见的一种复杂的内分泌及代谢异常所致的疾病,主要特征为慢性无排卵(排卵功能紊乱或丧失)和高雄激素血症(妇女体内男性激素产生过剩),临床表现为月经周期不规律、不孕、多毛和/或痤疮,是最常见的女性内分泌疾病。采用皮下注射脱氢表雄酮建


全国咨询电话:025-87183621

服务详情

背景介绍:多囊卵巢综合症(Polycystic ovarian syndrome,PCOS)是生育年龄妇女常见的一种复杂的内分泌及代谢异常所致的疾病,主要特征为慢性无排卵(排卵功能紊乱或丧失)和高雄激素血症(妇女体内男性激素产生过剩),临床表现为月经周期不规律、不孕、多毛和/或痤疮,是最常见的女性内分泌疾病。采用皮下注射脱氢表雄酮建立多囊卵巢综合征模型,过高的雄激素干扰卵泡的生长成熟,从而导致机体不排卵,同时出现高胰岛素血症和胰岛素抵抗现象,与人类多囊卵巢综合征有相似之处。





1.jpg



图1 模型示意图

应用方向:生殖系统相关课题。

关键词:多囊卵巢综合症、PCOS、Polycystic ovarian syndrome

实验动物:大鼠品系:SD、Wistar;小鼠品系:C57BL/6、BALB/C;周龄:3-6周;仅限雌性。

造模方法:大鼠每天皮下注射脱氢表雄酮,连续注射20天。




2.jpg




图2 造模流程示意图

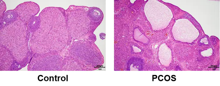
模型验证:正常组大鼠卵巢组织中,可见不同发育时期的卵泡和少量黄体,颗粒细胞排列整齐;模型组中,可见显著囊状扩张卵泡,颗粒细胞层数减少,未成熟的小卵泡数量明显增加,卵母细胞消失,表明模型成功。



3.jpg




图3 HE模型验证(100X)

参考文献:Li Yan, et al. Inhibition of Nicotinamide adenine dinucleotide phosphate oxidase 4 attenuates cell apoptosis and oxidative stress in a rat model of polycystic ovary syndrome through the activation of Nrf-2/HO-1 signaling pathway.[J] .Mol Cell Endocrinol, 2022, 550: 111645.(IF=3.871)




在线留言

Online message

姓名

电话

留言内容

联系我们

Contact us
南京东极生物科技有限公司
扫一扫关注
  • 地址:南京市六合区新港湾路166号协合智谷产业园16-3栋
  • 电话:139-1599-6230   025-87183621
  • 邮箱:sales@dj-cro.com
  • 网址:http://yichun.dj-cro.com
Copyright © 2023 南京东极生物科技有限公司版权所有 All Rights Reserved.
  • 公司联系方式
    QQ
  • 公司微博
    微博
  • 网站首页
    首页
  • 公司联系电话
    电话
  • 返回
    返回顶部